Educational Voxgram images

Reach in to the newest and most exciting tool to assist Educators faced with the challenge of efficiently teaching anatomy! Voxgram™ images are excellent for one-on-one and group education. The Voxbox™ display is bright and portable, allowing Voxgram images to be viewed with ease in any kind of educational setting.

Standard and custom sets of educational Voxgram images are being used at several leading Medical Schools to teach — and then test — students' knowledge and understanding of normal and abnormal anatomy. Educators report that teaching is greatly enhanced with the intuitive "3D X-ray" viewpoint of Voxgram images.

Students gain a direct intuitive understanding of the sizes of, and relationships between, anatomical structures. Voxgram images make a popular addition to the educational experience. They have also been used in a variety of museum and other public settings, including an RSNA/ACR sponsored exhibit at Disney's Epcot Center.

Order from standard images, or call with special requirements. Please call 801-983-6075 for more information.

Standard images

The following Simgram™  images catalog our current library of standard Voxgram films. You can view the Simgram images in mono or stereo. These are just simulated holograms: real Voxgram images are lifesize (unless otherwise noted) and are true three-dimensional holograms. Click any Simgram image for an enlarged version.

• Thorax and Back

Order: C79-5577
Voxgram® image
CT Spine — Right Lateral Oblique
Order: A9F-9A97
Voxgram® image
CT Spine — Right-Half Right-Lateral
Order: 47C-9557
Voxgram® image
CT Spine — Posterior View
Order: 75D-H397
Voxgram® image
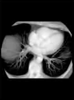
CT Heart — Coronary Arteries
Order: E5D-899H
Voxgram® image
MR Heart — Hollow Edit
Order: 95C-H27C
Voxgram® image
CT Chest
Order: D76-D9AC
Voxgram® image
CT Shoulder Fracture

• Abdomen

Order: C9B-D5DC
Voxgram® image
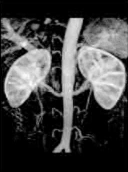
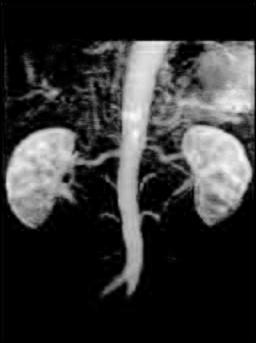
CT Abdomen and Renal Arteries — AP View
Order: B7C-H3DC
Voxgram® image
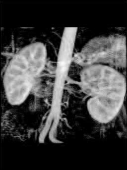
CT Abdomen and Renal Arteries — AP View
Order: 857-BC62
Voxgram® image
CT Abdomen and Renal Arteries — AP View
Order: A7E-6C52
Voxgram® image
CT Abdominal Aortic Aneurysm (AAA)
Order: 73B-942C
Voxgram® image
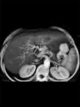
CT Abdomen — Liver Transplant, AP View

• Head and Neck

Order: 5LF-7FTJ
Voxgram® image
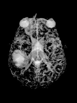
CTA Cerebral Aneurysm — Composite View
Order: F99-HD47
Voxgram® image
Multiple Facial & Cranial Fractures — AP View
Order: B68-2B4A
Voxgram® image
Cortical Surface, Left Parietal Tumor, Ventricles — SI View

• Extremities

Order: 5W9-FVG4
Voxgram® image
Right Knee, CT, Lateral & Posterior Views
Order: 5L8-GXU6
Voxgram® image
CT Wrist — AP, PA & Right Lateral Oblique Views

Voxbox displays

All users of Voxgram images need access to at least one Voxbox® display.

The Voxbox display is a free-standing light box that directs visible light through a Voxgram film, creating an accurate three-dimensional replica of the patient's scanned anatomy projected in space towards the observer. Accurate replay of Voxgram images requires the special optics in the Voxbox display: other forms of illumination would significantly distort the holographic image.

Voxbox displays are available individually or with sets of images. Please call 801-983-6075 for more information.